Les traitements

Après 12 ans

Pourquoi ?
En règle générale, toutes les dents définitives sont présentes aux alentours de 12 ans. La mise en place d’un traitement d’orthodontie permet d’exploiter le potentiel de croissance afin de positionner les mâchoires au bon endroit.

Le traitement n’est alors pas seulement primordial pour l’esthétique du sourire, il permet une fois de plus de pouvoir travailler sur les différentes fonctions vitales que sont la mastication, la déglutition, la phonation, ou la respiration. Ce n’est qu’une fois que les troubles dysfonctionnels seront réglés que l’on pourra espérer une pérennité des résultats obtenus par le traitement orthodontique.

Comment ?
On peut envisager des traitements par multiattaches collées qu’elles soient en acier, en céramique (plus esthétiques) ou encore en lingual, et même des traitements par gouttières.

Le choix d’un type de traitement par rapport à l’autre se fera entre autre en fonction de la motivation et de la coopération des patients.

Pendant combien de temps ?
Pour l’administration, en fonction de l’importance des déséquilibres fonctionnels et esthétiques les traitements pourront s’étendre de 6mois à 3ans.

 Dépistage
Il n’est pas rare que les patients nous soient adressés par le Chirurgien-dentiste de famille, le pédiatre ou même parfois le posturologue ou l’ostéopathe.

Cependant, quelques signes peuvent également alerter les parents.
La présence d’un décalage important entre les dents supérieures et inférieures,
Une dent de lait qui met du temps à tomber,
Une respiration par la bouche,
Des ronflements nocturnes,
Un défaut de prononciation,
Une absence d’espace voire un chevauchement au niveau des dents de lait,
Une absence de contact entre les dents du haut et celles du bas lorsque les dents, mâchoires fermées, laissent un espace pour le pouce ou la tétine.

Collaboration multidisciplinaire
Comme il n’est pas rare que le jeune patient nous soit adressé par des confrères qui ne sont pas toujours dans le milieu dentaire, il est aussi fréquent que l’orthodontiste adresse votre enfant vers d’autres spécialistes.

En effet, pour rétablir l’harmonie des fonctions et l’équilibre des tissus, nous pourrons avoir recours à l’aide des Oto-Rhino-Laryngologues (Respiration buccale, tonnelles hypertrophiées), des Kinésithérapeutes ou Orthophonistes pour la rééducations praxis linguales (phonation ou déglutition), de l’Ostéopathe ou du Posturologue pour aider à régler des déséquilibres faciaux ou posturaux.

Pour tous, une visite annuelle chez le dentiste est importante durant toute la durée du traitement tout comme une consultation avec un parodontiste peut être nécessaire avant d’entreprendre un traitement chez l’adulte.

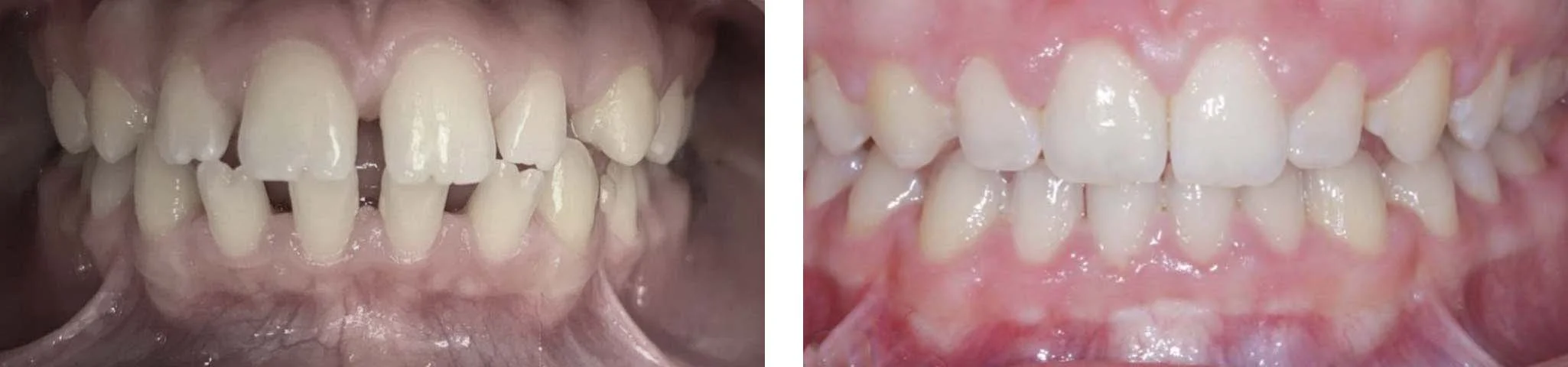
Traitement Multibagues
après 12 ans

Traitement Multibagues après 12 ans
Traitement Multibagues après 12 ans
Traitement Multibagues après 12 ans
Traitement Multibagues après 12 ans